Hernia discal y Lipoaspiración

Hernia discal y lipoaspiración: una visión integrativa

La hernia discal es una de las patologías más frecuentes en la consulta, y su sintomatología varía enormemente de un paciente a otro: desde mareos o cefaleas hasta pérdida de fuerza, parestesias o dolor irradiado. Pese a esta diversidad clínica, existe un factor común en todos los casos: el origen del problema se encuentra en la hiperpresión intradiscal entre dos vértebras.

Gracias a años de experiencia conjunta con el Prof. Dr. Jacques Theron, hemos podido constatar que la clave está en la musculatura paraespinal profunda, la gran olvidada en muchas terapias convencionales. Estos músculos, responsables del sostén de la columna vertebral, cuando se encuentran excesivamente tensos o comprometidos, generan una tracción anómala sobre las vértebras. Esta tracción incrementa la presión intradiscal, generando protrusiones e incluso hernias.

El DiscoGel: una solución mínimamente invasiva

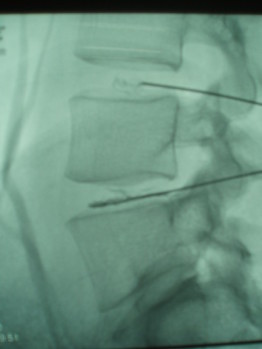
Mientras que la solución tradicional propuesta por muchos neurocirujanos o traumatólogos sigue siendo la cirugía con fijación vertebral (placas, clavos...), el DiscoGel® representa una alternativa eficaz, segura y mínimamente invasiva. Se trata de una sustancia a base de alcohol gelificado (etanol) que, inyectada en el núcleo del disco dañado, reduce la presión interna y desinflama las raíces nerviosas comprometidas.

La intervención se realiza en quirófano con sedación general ligera. Primero se infiltra el DiscoGel en el disco afectado, y posteriormente se administra una pequeña cantidad de corticoide intraarticular para tratar también la articulación facetaria. El procedimiento dura menos de una hora y no requiere anestesia general ni ingreso hospitalario prolongado: el paciente puede caminar por la tarde y regresar a casa al día siguiente.

Hemos documentado en múltiples casos una mejora inmediata, y en estudios de seguimiento se observa incluso una rehidratación y recuperación del disco intervertebral con el tiempo, algo inédito en técnicas quirúrgicas tradicionales.

El papel olvidado de la grasa paraespinal

En muchos pacientes el problema no se limita a la tensión muscular. Existe un segundo factor clave: la infiltración grasa entre los músculos paraespinales y las vértebras. Esta grasa ocupa el espacio destinado a la musculatura, impidiendo su contracción correcta, alterando su fisiología y generando un entorno inflamatorio permanente.

Cuando el sostén muscular se ve afectado, el disco sufre una presión incorrecta. Esta es la razón por la que muchos pacientes presentan dolor y degeneración discal sin hernia evidente: la causa está en la atrofia muscular secundaria a la invasión grasa, más común en la región lumbar.

Lipoaspiración paraespinal: descomprimir para sanar

El Prof. Dr. Theron desarrolló hace años una técnica revolucionaria: la lipoaspiración paraespinal. Esta intervención consiste en extraer, mediante microcánulas, la grasa infiltrada entre los músculos y las vértebras. Al hacerlo, se permite una inmediata reexpansión de la musculatura, mejorando su vascularización, oxigenación y capacidad de contracción. El resultado: una columna más estable, menos dolor y mayor funcionalidad.

Además, esta técnica se aplica con éxito en el tratamiento de cicatrices dolorosas o adheridas, donde la grasa acumulada entre planos provoca síntomas crónicos. La lipoaspiración permite liberar adherencias y restaurar el equilibrio local.

Es un procedimiento ambulatorio, sin anestesia general, con una duración aproximada de 45 minutos y resultados clínicos excelentes.

El Método JR: integración, prevención y recuperación funcional

Tras la intervención con DiscoGel o lipoaspiración, los pacientes son derivados a mi consulta para iniciar el protocolo de reequilibrio funcional con el Método JR. A través del trabajo específico sobre los músculos estabilizadores, la regulación neuroenergética mediante acupuntura y la dosificación precisa de fitoterapia, homeopatía o Quinton, conseguimos una recuperación real, profunda y duradera.

Evitar una hernia discal o tratarla sin cirugía es posible. Pero más importante aún es restaurar la unidad funcional del cuerpo: músculo, disco, articulación, sistema nervioso y sistema energético deben trabajar en armonía. Esa es la base de nuestro enfoque.


Bibliografía

  • J. Theron, L. Guimaraens, A. Casasco, H. Cuéllar, T. Sola. “More experience in Lumbosacral Liposuction in the treatment of low back pain.” Annual Symposium of the American Society of Spine Radiology, Indian Wells, California, USA. Febrero 21-24, 2008.

  • J. Theron, L. Guimaraens, A. Casasco, T. Sola, H. Cuéllar. “Lipoaspiración paravertebral como herramienta en la patología dolorosa de la columna vertebral: experiencia en 105 casos.” XX Congreso de la Sociedad Ibero Latino Americana de Neuroradiología (SILAN). Cancún, México. 7-11 de Septiembre de 2008.

  • J. Theron, T. Sola, L. Guimaraens, A. Casasco, H. Cuéllar, P. Courtheoux, J.M. Constans. “Reexpansión Muscular Paraespinal. Técnica Percutánea. Resultados Preliminares.” XIX Congreso de la Sociedad Ibero Latino Americana de Neurorradiología (SILAN). Sevilla, España. 16-20 de Abril de 2007.